당산역 정형외과 박상준의원 공식 블로그

당산동정형외과 22

당산동 정형외과 오십견, 회전근개파열 구분법과 자가 체크 방법

팔을 들거나 돌릴 때 느껴지는 어깨통증은 누구나 겪을 수 있는 증상입니다. 하지만 문제는 이 통증이 겉으로는 비슷해 보여도 내부 원인은 전혀 다를 수 있다는 점입니다. 단순 근육통일 수도 있고, 관절 자체의 병변에서 비롯된 것일 수도 있습니다. 특히 팔을 움직일 때마다 반복적으로 통증이 나타나고, 그 강도가 점점 심해진다면 관절의 구조적 변화 가능성을 반드시 고려해야 합니다. 중년 이후에 자주 발생하는 오십견은 특별한 외상 없이도 어깨가 서서히 굳어가며 팔의 움직임에 큰 제약을 주는 질환입니다.많은 이들이 이를 단순히 나이 탓으로 오해하거나 참고 넘기기도 하지만, 자가 회복에만 의존하다가 상태가 악화되어 뒤늦게 진단을 받는 경우도 적지 않습니다. 따라서 어깨통증이 자주 반복되거나 일상에 영향을 주기 시작..

카테고리 없음 2025.09.02

배가 아프다고 온 배드민턴 선수 이야기(2) (당산 정형외과, 당산역 정형외과, 당산동 정형외과, 합정역 정형외과, 합정 정형외과, 여의도 정형외과)

[박상준원장/통증이야기] - 배가 아프다고 온 배드민턴 선수 이야기(1) 나 : 시합은 나가셨어요? 복부 통증은 좀 어떠세요?환자 : 원장님.... 시합도 망쳤고... 무엇보다 통증이 훨씬 심해졌어요 ㅜㅜ나 : 연습하다 다시 통증이 생긴거에요? 아니면 시합중에?환자 : 시합에 나가기 위해서 연습은 거의 안했구요... 시합에 나가서 첫 게임에 스매싱하다가 갑자기 배에서 '뻑' 소리가 나서 쓰러졌어요...나 : 그래서 어떻게 됬어요?환자 : 어찌어찌 시합은 마쳤는데.... 배에 멍도 들고 무엇보다 배가 너무 아파요 ㅜㅜ 무조건 시합은 뛰어야 한다고 했던 환자.. 부상과 통증을 참고 어쩔 수 없이 시합에 참가한 후 부상이 심해진 걸로 보입니다. 좌측 하복부에 압통은 좀 더 심해져 있었고 주변에 멍까지 든걸로 ..

카테고리 없음 2024.09.07

배가 아프다고 온 배드민턴 선수 이야기(1) (당산정형외과, 당산역정형외과, 당산동정형외과, 당산 통증의학과, 당산역 통증의학과, 당산동 통증의학과)

당산정형외과 당산역정형외과 당산동정형외과 여의도정형외과 합정정형외과 합정역정형외과 당산통증의학과 당산역통증의학과 당산동통증의학과 선유도정형외과 선유도역정형외과안녕하세요 박상준 원장입니다. 오늘은 배가 아프다?고 온 배드민턴 선수 이야기를 해볼까 합니다.나 : 안녕하세요, 어디가 불편해서 오셨어요?환자 : 배가 아파서 왔습니다. 나 : 아 배가 아프세요... 설사를 하나요? 토하나요?환자 : 아 그렇게 아픈 배가 아닌데요... 제가 주로 진료를 보는 내용은 정형외과, 통증의학과인데... 그래도 가끔 감기 기운이나 장염, 위염, 고혈압, 당뇨등등으로 진료를 보러 오시는 환자분들이 있어서 위염이나 장염인가 했습니다. 나 : 그럼 어떻게 아프신데요.환자 : 아 사실 제가 배드민턴 선수인데요... 어제 연습중에 ..

걷기 vs 달리기, 어떤게 더 살이 잘 빠질까? (당산 당산역 당산동 여의도 합정 목동 영등포 영등포구청 선유도 양평동 국회의사당 정형외과 야간진료)

당산 당산역 당산동 여의도 합정 목동 영등포 영등포구청 선유도 양평동 국회의사당 정형외과 야간진료 박상준의원)몸짱이었던 박원장 채널 오늘의 영상 주제는 '걷기 vs 달리기 어떤게 더 살이 잘 빠질까?' 입니다. 사실 이 내용은 벌써 10년전부터 다이어트 초보자들이 궁금해하는 단골 메뉴입니다.언뜻 들어서는 달리기가 살이 잘 빠질거 같긴 한데 또 누군가에게 듣기로는 걷기가 더 살이 잘 빠진다더라라고 들어 보셨을 수도 있습니다.실제로 유튜브, 포털, 블로그, 카페에 검색으로 하면 이와 관련된 여러가지 영상들이 있는데요....과연 걷기와 달리기 어떤게 더 살이 잘 빠질까요?운동 생리학을 기반으로 하여 총정리 하면서 그 답변을 알아보겠습니다영상이 도움이 되신다면 구독과 좋아요 부탁드립니다 ^^(당산 당산역 당산동..

허벅지 근육을 유연하게 관리하는 법 (당산정형외과 당산역정형외과 당산동정형외과 여의도정형외과 합정정형외과 목동정형외과 영등포정형외과 영등포구청정형외과 선유도정형외과)

당산정형외과 당산역정형외과 당산동정형외과 여의도정형외과 합정정형외과 목동정형외과 영등포정형외과 영등포구청정형외과 선유도정형외과)안녕하세요^^ 도수치료를 담당하고 있는 물리치료사 박호동입니다. 이번시간에는 허벅지 근육을 유연하게 관리하는 법에 대해 알려드릴까 합니다. 엉덩이와 허벅지로 이어지는 근육을 부드럽게 하는 것은 ​ 다리질환에 도움이 될 뿐만 아니라, 골반과 척추에도 도움이 됩니다. 근육을 유연하게 하기 위해서는 스트레칭 운동을 꾸준히 하면 된다는 사실은 누구나 아실 겁니다. 하지만 평소에 운동을 자주 하지 않는 분들에게는 무리한 스트레칭이 독이 될 수 있어요. 이럴때, 스트레칭을 보다 쉽게 접근하기 위한 방법을 알려드릴려고 합니다. 바로 동작검사-자극-스트레칭 방법이에요. 동작이 뻣뻣한지 검사해..

카테고리 없음 2020.02.18

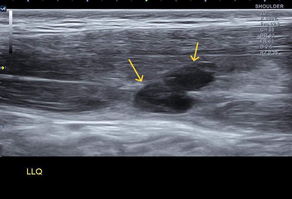
골프 중독으로 어깨 힘줄 끊어진 환자 이야기 (당산정형외과 당산역정형외과 당산동정형외과 여의도정형외과 합정정형외과 목동정형외과 영등포정형외과 영등포구청정형외과 선유도정형..

당산정형외과 당산역정형외과 당산동정형외과 여의도정형외과 합정정형외과 목동정형외과 영등포정형외과 영등포구청정형외과 선유도정형외과 도수치료 박상준의원)안녕하세요 박상준원장입니다. 오늘은 얼마전에 어깨 통증으로 방문한 환자 이야기를 해볼까 합니다. 나 : 어디가 불편해서 오셨어요?환자 : 어깨가 아픕니다.나 : 아픈지 얼마나 되셨나요?환자 : 그게.... 대략 3년정도 되었네요 꽤 오랜시간 어깨가 아팠다는 환자분.... 나 : 아프신지가 꽤 오래되었네요? 병원은 처음 오신 거에요?환자 : 네 아프지는 오래되었는데 ... 병원은 처음이네요... 제가 아픈걸 잘 참아서요... 아픈걸 잘 참아왔다는 환자분..... 그런데 나 : 병원 방문을 결심하신 이유가 있나요?환자 : 그동안은 그럭저럭 지냈는데.... 몇주전..

턱관절 근육통에 도움이 되는 셀프마사지 방법(당산 당산역 당산동 여의도 합정 목동 영등포 영등포구청 선유도 양평동 국회의사당 정형외과 야간진료 도수치료 통증의학과)

당산 당산역 당산동 여의도 합정 목동 영등포 영등포구청 선유도 양평동 국회의사당 정형외과 야간진료 도수치료 통증의학과 박상준의원)안녕하세요 도수치료를 담당하고 있는 물리치료사 박충성입니다. 오늘은 턱관절 근육 통증에 도움이 되는 마사지법을 소개하고자 해요 턱관절이 불편하면 입을 벌리기도 힘들고 딱딱 소리가 나거나 잠을 잘 때 이갈이를 할 수도 있습니다. 또한 씹는 근육인 교근과 함께 머리 측두근, 흉쇄유돌근 승모근 같은 목 어깨 근육까지 뻐근한 느낌이 오고 두통까지도 유발되는데요​그래서 저도 도수치료 시 두통을 호소하시는 분은 턱관절 주변 근육도 같이 치료를 시행하고 있습니다 턱관절 근육통의 원인으로는 한쪽으로 음식을 많이 씹거나 웨이트 운동할 때 이를 꽉 물거나 수면 시 이를 가는 습관, 정신적 스트..

연골주사 맞고도 무릎이 아프다는 환자 이야기 (당산정형외과 당산역정형외과 당산동정형외과 여의도정형외과 합정정형외과 목동정형외과 영등포정형외과 영등포구청정형외과 선유도정형..

박상준 의원 병원위치, 진료시간, 연락처 등등이 궁금하면 클릭하세요. ^^ (당산 당산역 당산동 여의도 합정 목동 영등포 영등포구청 선유도 양평동 국회의사당 정형외과 야간진료 도수치료 통증의학과 박상준의원) 안녕하세요 당산 정형외과 박상준의원 박상준원장입니다. 오늘은 얼마전에 무릎이 아프다고 온 환자 이야기를 해볼까 합니다. 얼마전 중년의 환자분이 진료실로 들어오셨습니다. 나 : 안녕하세요 , 어디가 불편하세요? 환자 : 무릎이 불편합니다. 다리가 불편한지 약간 절뚝이던 남자분... 문제는 무릎이었습니다. 나 : 아픈지 얼마나 되셨나요? 다치거나 무리한게 있으세요? 다리를 많이 쓰는 일을 하시나요? 환자 : 불편한지가..... 3개월정도 되었구요... 다치거나 특별한 일은 없었습니다. 특별한 운동도 하지..

무릎 앞쪽 통증에 도움이 되는 운동 (당산정형외과 당산역정형외과 당산동정형외과 여의도정형외과 합정정형외과 목동정형외과 영등포정형외과 영등포구청정형외과 선유도정형외과)

박상준 의원 병원위치, 진료시간, 연락처 등등이 궁금하면 클릭하세요. ^^ (당산 당산역 당산동 여의도 합정 목동 영등포 영등포구청 선유도 양평동 국회의사당 정형외과 야간진료 도수치료 통증의학과 박상준의원) 안녕하세요. 당산역 박상준의원에서 도수치료를 담당하고 있는 물리치료사 박호동입니다. 이번시간에는 무릎 앞쪽으로 통증이 있을 때 도움이 되는 운동방법에 대해 알려드릴까 해요. 장시간 걷거나, 계단을 오르거나, 앉았다 일어설 때, 무릎 앞쪽으로 통증을 호소하는 경우가 종종 있는데, 이런 경우, 보통 슬개골 주변근육의 과긴장으로 무릎에 압박이 증가해서 통증을 호소하게 됩니다. 그래서, 이번시간에는 무릎앞쪽에 있는 슬개골을 중심으로 관절주변을 부드럽게 해주고, 무릎안정에 도움이 되는 운동을 해보도록 하겠습니..

종아리 근육 뭉침 마시지와 스트레칭법 (당산정형외과 당산역정형외과 당산동정형외과 여의도정형외과 합정정형외과 목동정형외과 영등포정형외과 영등포구청정형외과 선유도정형외과)

박상준 의원 병원위치, 진료시간, 연락처 등등이 궁금하면 클릭하세요. ^^ (당산정형외과 당산역정형외과 당산동정형외과 여의도정형외과 합정정형외과 목동정형외과 영등포정형외과 영등포구청정형외과 선유도정형외과) 안녕하세요 박상준의원에서 도수치료를 담당하고 있는 물리치료사 박충성입니다. 오늘은 종아리 근육 뭉침의 원인과 마시지&스트레칭법에 대해 알아볼게요 종아리근육 뭉침이나 경련으로 인한 불편함과 통증은 누구나 한번쯤 느껴봤을 겁니다. 특히 야간에 쥐가 나서 깜짝 놀래거나 밤잠까지 설친다면 하루종일 파곤한데요 대부분 부종을 함께 동반하는 경우가 많습니다. 종아리 근육중에 가장 큰 근육이 비복근과 가지미근이 있고 가지미근 아래쪽에는 종아리근육 속근육인 후경골근과 장지굴곡근이 있고 종아리 근육의 역할은 발목과 발가..